Dr. Youssef Obeid,DDS,FACP

Dr. Obeid is a Board-Certified Prosthodontist, practicing in Chevy Chase, MD. After graduating from dental school in 1993, he spent the next years completing an Advanced Education residency in General Dentistry at the University of Maryland School of Dentistry. He continued his training at UMSOD with a Prosthodontic residency, followed by an Advanced Surgical Implant fellowship at NYU. Dr. Obeid established Obeid Dental as a unique clinical setting where patients can receive world-class dentistry in a refined, boutique environment, ‘One Patient at a Time’. In addition to over 20 years of experience, Dr. Obeid is credentialed as a Diplomate of the American College of Prosthodontics and served as President of the ACP Maryland chapter. He has lectured nationally and internationally on the latest advances in implants, prosthodontics, and digital workflow for dental practices. He has been a Clinical Assistant Professor at the University of Maryland School of Dentistry since 2001.
Register for Our Next Lecture
Contact us for More Information
lecture 1: The Ortho, Pedo, Prostho Connection
The Ortho, Pedo and Prostho Connection
Course Outline
Learning Objectives
- Start with the end in mind.
- Understand the growth pattern of the jaws.
- Learn how to use the fixed transitional prosthesis as part of the treatment for pediatric patients as they move toward adulthood.
- Understand the advantages of digital dentistry in treatment planning, especially the intraoral scanner and CBCT.
- Understand the timing of implant placement and success criteria. Clinical review of multiple cases.
Conclusion
At the conclusion of this lecture attendees should be able to:
- Apply interdisciplinary treatment planning at the start.
- Understand the benefits of incorporating orthodontic and prosthodontic principles into the patient treatment planning process.
- Recommend the best time for implant placement in growing pediatric patients.
- Maximize the benefits and capabilities of digital dentistry.
- Understand the advantage of a fixed transitional prosthesis as part of the orthodontic treatment plan for patients as they grow into adults
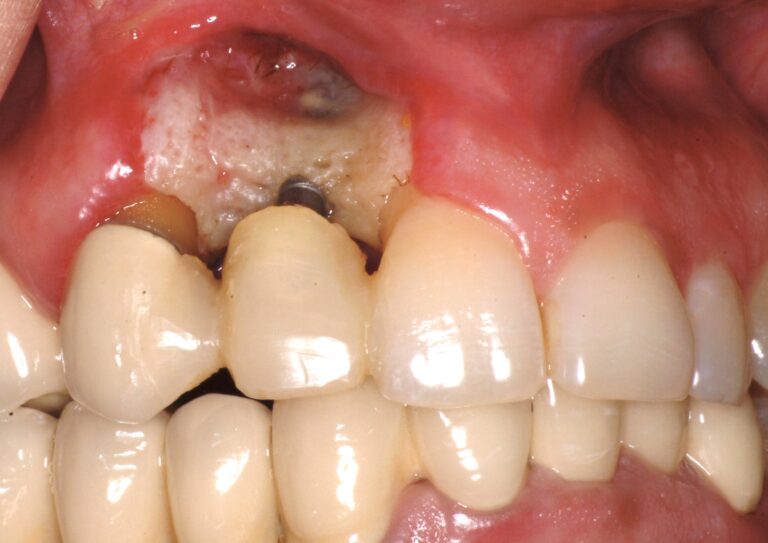
Ortho Before & After
Pre-ortho to Post-ortho with implant #7 and veneer #10
TPC Avenel GOlf Club
10000 Oaklyn Dr
Potomac MD 20854
Thursday June 20, 2024
Cocktail social starts at 5:30pm
Dinner is from 6-8pm
CE Hours
Attendees will receive 2 credits
Please RVSP by
Monday June 3, 2024
lecture 2: Are You Compliant?
Roseanna Morgan, CDA
Are You Compliant?
Avoiding OSHA Disciplinary Action and Malpractice
Course Outline
Learning Objectives
- Understand the rationale of OSHA and CDC regulations and enforcement.
- Assess office readiness for OSHA inspections.
- Develop site Infection Control Manual to document compliance
- Implement accountability procedures for maintenance of logs, filings, training etc.
- Understand the potential legal impact of noncompliance
In Conclusion
- Understand the role of OSHA and CDC regulations and the consequences of non-compliance
- Accurately assess office protocols for adherence to regulations and implement necessary updates
- Create and maintain practice Infection Control Manual outlining all infection control and safety protocols
- Create and maintain documentation of training efforts for New Hire and Annual Training on infection control, safety procedures, licensure documents
- Understand and identify compliance lapses that could result in disciplinary actions or contribute to malpractice proceedings.
TPC Avenel Golf Club
10000 Oaklyn Dr
Potomac, MD 20854
Date
Sep 5, 2024
6PM-8PM
Cocktail Reception at 5:30PM
CE Hours
Attendees will receive 2 credits
Please RVSP by
August 5, 2024
lecture 3: Surgical Principles in Implant Dentistry
Surgical Principles in Implant Dentistry
Course Outline
- Will we still need to know everything about surgical principals?
- The answer is an emphatic YES.
- Create and maintain practice Infection Control Manual outlining all infection control and safety protocols
- This lecture will cover the most likely implant surgery scenarios and will help guide you to make the right choice from different surgical situations and requirements
Learning Objectives
- Proper diagnosis prior to surgical intervention
- Understand the principles of wound healing
- Understand the complications that can occur from poor surgical techniques
- Understand the different dental implant brands and products used for immediate implant placement versus a conventional delayed placement
- Clinical overview of multiple cases
In Conclusion
- Perform better surgeries with fewer complications
- Understand the principal of immediate implant placement
- Devise and implement strict protocols for implant surgeries
- Know when to refer to a specialist
- Know when to do guided surgery and when to use a conventional approach
TPC Avenel Golf Club
10000 Oaklyn Dr
Potomac MD 20854
Date
November 21, 2024
CE Hours
Attendees will receive
2 CE credits
Please RVSP by
November 4, 2024
lecture 4: Digital Dentistry, What's Hot and What's Not?
Digital Dentistry: What's Hot and What's Not?
Course Outline
Digital dentistry has forever changed the dental practice. From digital x-rays to digital impressions, guided surgery, design software, robotic dentistry and the fast infusion of AI – the list keeps on growing and we better keep up with it. Dentists may be hesitant to adapt, but often, once they embrace a digital workflow, they wonder why it took them so long. The need for continuing education to keep updated with these advancements is a must. So, what’s hot and what’s not? Today, numerous systems and workflows exist for manufacturing highly accurate dental restorations, making surgical guides, and other applications at a relatively low cost. However, suboptimal outcomes can occur due to a lack of understanding of these technologies. While the use of digital workflows does not alter the goals of dental treatments, it is crucial for clinicians to comprehend how conventional restorative principles can be applied within a digital workflow. This presentation will review the clinical applications of digital technologies – what works and doesn’t work for today’s practitioners.
Learning Objectives
- Evaluate new digital technology with a focus on practical applications for dental practices
- Understanding how to optimize diagnosis and restorative planning with a digital workflowIdentification of analog procedures that complement the digital workflow, not impede it
- Identification of common problems with the transition to the digital workflow
- Understanding the limitations of digital dentistry
In Conclusion
At
At the conclusion of this lecture attendees should be able to:
- Implement digital technologies into their practice through a structured, step-by-step approach.
- Optimize each phase of restorative planning and apply a digital workflow that maintains high clinicalstandards and quality Identify and integrate essential analog procedures to effectively complement the digital workflow inspecific cases for enhanced patient outcomes
- Evaluate available technologies and develop reliable techniques for effective treatment
- Determine the most suitable treatment path for individuals, avoiding the one-size-fits-all approach
- Learn to avoid problems associated with digital workflow
- Understand the limits of new digital dental technologies
- ·
TPC Avenel Golf Club
10000 Oaklyn Dr
Potomac MD 20854
Date
January 16, 2025
6:00PM – 8:00PM
Cocktail Reception begins at 5:30PM
CE Hours
Attendees will receive
2 CE credits
Please RVSP by
December 23, 2024
lecture 5: The Art of Anterior Implants
The Art of Anterior Implants
Course Outline
This anterior implant lecture is designed to provide practitioners with the knowledge and skills necessary to start planning and placing anterior implants in their offices. Understanding the complexity of anterior implants- including when to refer- is crucial for surgical and restorative outcomes. This lecture will focus on treatment planning and utilizing digital technologies such as CBCT imaging, intra-oral scanning, planning software, and surgical guides. Extraction, bone grafting, surgical technique, and suturing will be covered.
Learning Objectives
- Understand the process of the anterior implant procedure, including extraction, bone grafting, and suturing procedures.
- Understand the latest advances in implant materials and techniques, including digital implant planning via CBCT, intra-oral scanning, implant placement planning via software, and surgical guide fabrication.
- Be versed in the use of implants, surgical protocols, and prosthetic components.
- Identify implant complications and failures.
- Communicate effectively with patients and other dental professionals involved in the implant treatment process.
- Utilize evidence-based practices to select appropriate patients and place dental implants based on their skill set level and experience.
- Recognize when patients should be referred to a specialist.
In Conclusion
At the conclusion of this lecture participants should:
- Be cognizant of the anterior implant procedure, including extraction, bone grafting, and suturing procedures.
- Have familiarity with the latest advances in implant materials and techniques, including digital implant planning via CBCT, intra-oral scanning, implant placement planning via software, and surgical guide fabrication.
- Have better understanding of the use of implants, surgical protocols, and prosthetic components.
- Be able to identify implant complications and failures.
- Understand how to communicate effectively with patients and other dental professionals involved in the implant treatment process.
- Be able to apply evidence-based practices in the selection of appropriate patients and placement of dental implants based on their skill set level and experience.
- Recognize when patients should be referred to a specialist.
TPC Avenel Golf Club
10000 Oaklyn Dr
Potomac, MD 20854
Date
Thursday March 13, 2025
6PM-8PM
Cocktail Reception at 5:30PM
CE Hours
Attendees will receive 2 credits
Please RVSP by
February 23, 2025
lecture 6: Different Bone, Different Implants
Different Bone, Different Implants
Course Outline
This lecture is designed to help providers choose the right implant based on the anatomy of the remaining bone. We will cover different implant styles, designs, surface roughness, and shapes. A ‘one size fits all’ approach is a recipe for failure. We will discuss common challenges with available bone and the optimal implant for these areas.
Learning Objectives
In this lecture we will discuss:
- 1. How implant design influences the procedure
- 2. Bone level vs tissue level implants
- 3. The history and success of Mini Implants
- 4. What are Zirconia Implants
- 5. The new Wedge Implants ••••••••••••••••••••••••••••••••••••••••••••••••••••••••••••••••••••••••••••••••••••••••••••••••••••••
In Conclusion
At the conclusion of this lecture, attendees should be able to:
- 1. Decide when to graft and when to use other implant alternatives
- 2. Know the indications for Zirconia implants
- 3. Understand limitations of mini implants
- 4. Understand the surgical principle of Rex Wedge Implants
TPC Avenel Golf Club
10000 Oaklyn Dr
Potomac, MD 20854
Date
Thursday May 8, 2025
6PM-8PM
Cocktail Reception at 5:30PM
CE Hours
Attendees will receive 2 credits
Please RVSP by
April 14, 2025
Lecture 7: The Ortho, Pedo, Prostho Connection 2.0
The Ortho, Pedo and Prostho Connection 2.0
Course Outline
Advancements in digital dentistry have created the opportunity for different practitioners to communicate more effectively and expand their services for the dental population. There is no better example of this than the relationship between orthodontists and prosthodontists.
This lecture will focus on the importance of interdisciplinary planning and coordination, and different treatment plan options when seeking better restorative outcomes.
Learning Objectives
- When to use composite and when to use porcelain for anterior implants
- Principles of no-preparation bonding
- Newest thin wedge implants and how to plan for their use
- Starting with the end in mind
- Understanding the growth pattern of the jaws
- Using a fixed transitional prosthesis as part of the treatment for pediatric patients as they move toward adulthood
- Understanding the advantages of digital dentistry in treatment planning, especially the intraoral scanner and CBCT
- Understanding the timing of implant placement and success criteria
- Clinical review of multiple cases
Conclusion
At the conclusion of this lecture attendees should be able to:
- Apply interdisciplinary treatment planning at the start.
- Understand the benefits of incorporating orthodontic and prosthodontic principles into the patient treatment planning process.
- Recommend the best time for implant placement in growing pediatric patients.
- Maximize the benefits and capabilities of digital dentistry.
- Understand the advantage of a fixed transitional prosthesis as part of the orthodontic treatment plan for patients as they grow into adults
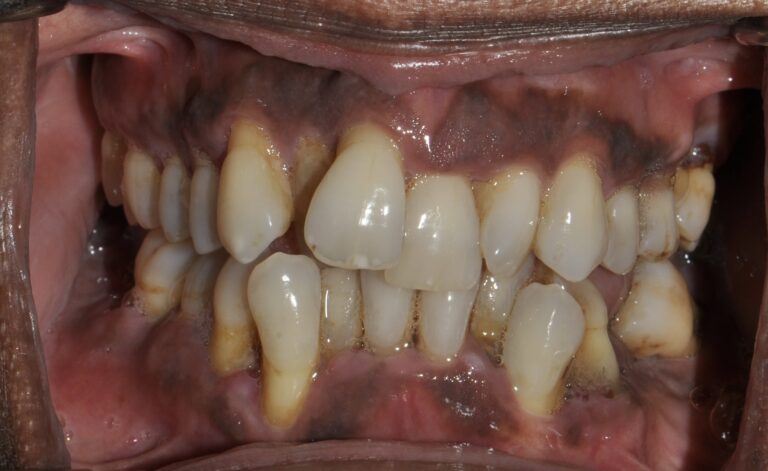
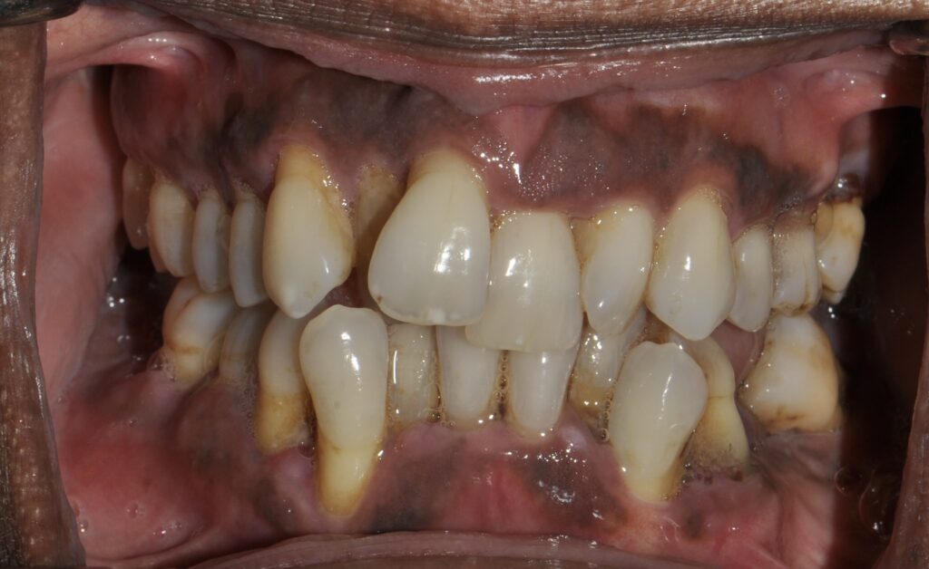
Ortho Before & After
Pre-Treatment and Post-Treatment
TPC Avenel GOlf Club
10000 Oaklyn Dr
Potomac MD 20854
Thursday September 11, 2025
Cocktail reception starts at 5:30pm
Dinner is from 6-8pm
CE Hours
Attendees will receive 2 credits
Please RVSP by
Monday August 18, 2025
Lecture 8: Veneers From Fake to Fabulous
Veneers: From Fake to Fabulous
Course Outline
Veneers have been a widely used and successful treatment in dentistry for over 30 years. This lecture will provide a comprehensive review of veneer indications, preparation and design, provisionals and cementation. Dr. Obeid will present best-practice clinical steps and techniques to minimize complications. The lecture will also highlight the importance of veneers mock-ups and aesthetic try-ins as essential components of the treatment planning process.
Learning Objectives
- Indications for veneers in adults and growing children
- Understanding veneers type – composite and porcelain- possible applications of each and expected longevity
- Design principles and site preparation for veneers
- The importance of veneer mock-ups and try-ins in treatment planning
- Review the fabrication and placement of provisional veneers
- Veneer bonding: materials, techniques and principles for successful adhesion
- Best-practice clinical steps to prevent complications and what to do when complications present
Conclusion
At the conclusion of this lecture attendees should be able to:
- Understand the indications for veneers in adults and growing children
- Understand veneer types, their potential usage and expected longevity
- Understand preparation and design of veneers and provisionals
- Complete the phases of treatment planning – including mock-up and try-in
- Apply best-practice techniques for site preparation and cementation
Veneers Before and After
TPC Avenel GOlf Club
10000 Oaklyn Dr
Potomac MD 20854
Thursday November 13, 2025
Cocktail reception starts at 5:30pm
Dinner is from 6-8pm
CE Hours
Attendees will receive 2 credits
Please RVSP by
Monday October 27, 2025

Top Ten Tips for Maintaining Your Dental Implants
Top 10 Tips for Maintaining Your Dental Implants Now that you have your dental implants – whether it’s one implant or multiple – what should

Can Dental Implant Cause Bad Breath? Everything You Need to Know About the Effect of Dental Implants on Bad Breath
Can Dental Implants Cause Bad Breath? Everything You Need to Know About the Effect of Dental Implants on Bad Breath. If Someone Told You That

Obeid Dental Step by Step – Full Mouth Dental Implants and Smile Makeover
Obeid Dental Step by Step – Full Mouth Dental Implants and Smile Makeover In this video, Dr. Obeid discusses the advancements in dental technology that

Zirconia Implants: The Patient Experience
Zirconia Implants: The Patient Experience This video centers on the Zirconia implant process from a patient’s perspective. My patient Elena suffered greatly from metal sensitivities

Smile Makeovers: What You Need to Know
Smile Makeovers: What You Need to Know Some people refer to crowns or veneers as a Smile Makeover but in reality, it more complex than

Mandibular Tori Removal
Mandibular Tori Removal What Are Mandibular Tori? How Can We Diagnose Them And What Can Be Done About Them? Diagnosing Mandibular Tori Most of the